Większość pracowni rezonansu magnetycznego ma trzy identyczne priorytety: poprawa produktywności, ale także zadowolenie pacjentów oraz lekarzy kierujących na badania1. Spełnienie tych potrzeb jest możliwe dzięki obrazowaniu, które jest szybkie i wysokiej jakości.
Taki właśnie cel przyświecał nam podczas tworzenia szybkich aplikacji oraz nowoczesnego silnika Compressed SENSE. Obecnie poszerzamy możliwości tego sprawdzonego rozwiązania o funkcje AI.
Philips SmartSpeed to gwarancja szybkości i wysokiej jakości obrazowania szerszej grupy pacjentów, w tym pacjentów odczuwających ból, pacjentów, którzy nie są w stanie wstrzymać oddechu lub mają wszczepione implanty warunkowo dopuszczone do obrazowania MR.

Nawet 3 razy szybciej
Dzięki 3 razy szybszemu skanowaniu 2 oraz skróceniu całkowitego czasu trwania badania Philips SmartSpeed zwiększa produktywność pracowni i zmniejsza koszty wykonywania badań.

Rozdzielczość większa o nawet 65%
Zapewniając większą rozdzielczość2, Philips SmartSpeed pozwala uzyskać obrazy świetnej jakości, dzięki którym radiolodzy mogą przekazywać lekarzom prowadzącym pewne rozpoznania.

Zgodność na poziomie 97%
Philips SmartSpeed stworzono z myślą o obrazowaniu szerokiej grupy pacjentów. Zgodność w przypadku wszystkich rodzajów sekwencji wynosi 97%3, co pozwala wykonać badanie u znacznej większości pacjentów.

Compressed SENSE: nasz nowoczesny i szybki silnik stosujący unikatową metodę w pełni zrównoważonego próbkowania przestrzeni K w celu maksymalnego zwiększenia szybkości z zachowaniem widoczności szczegółów. Rezultat? Niezmiennie wysoka jakość obrazu.
Compressed SENSE: nasz nowoczesny i szybki silnik stosujący unikatową metodę w pełni zrównoważonego próbkowania przestrzeni K w celu maksymalnego skrócenia czasu badania bez kompromisów.

Adaptive-CS-Net: wyróżniona nagrodami technologia rekonstrukcji wsparta AI4 wyszkolona z użyciem danych wejściowych pochodzących Compressed SENSE przetwarza sygnał MR u źródła, gwarantując najwyższą wierność danych i obrazów.
Adaptive-CS-Net: wyróżniona nagrodami technologia rekonstrukcji AI4 przetwarza sygnał MR u źródła, gwarantując najwyższą wierność danych i obrazów.

Jestem pod ogromnym wrażeniem wielkiego potencjału rozwiązania SmartSpeed, zwłaszcza w przypadku obrazowania 3D układu mięśniowo-szkieletowego, które staje się teraz możliwe. Krótki czas skanowania i świetna jakość obrazów to podstawa w prywatnym ośrodku diagnostyki obrazowej takim jak nasz”.
Dr Tobias Schröter
MRT-Praxis w Poczdamie, Niemcy

Wsparte AI rozwiązanie do rekonstrukcji Philips SmartSpeed wyznacza nowe standardy jeśli chodzi o czas badań. Technologia ta usprawnia każdy aspekt rozwiązania Compressed SENSE i pozwala przyspieszyć skanowanie z zachowaniem świetnej jakości obrazów i wysokiego poziomu pewności diagnostycznej”.
Dr Grischa Bratke
University Medical Center w Kolonii, Niemcy

Niebywałe możliwości eliminacji szumów dostępne dzięki Philips SmartSpeed gwarantują wysoką rozdzielczość obrazów bez wydłużania skanowania. Jest to szczególnie istotne podczas obrazowania małych zmian chorobowych w układzie naczyniowym”.
Dr Takashige Yoshida,
Metropolitan Police Hospital w Tokio, Japonia


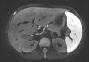
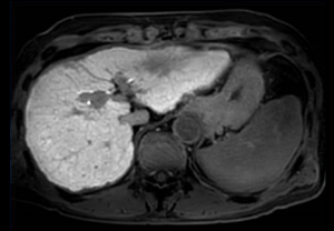
T2w TSE
Ingenia Ambition 1.5T


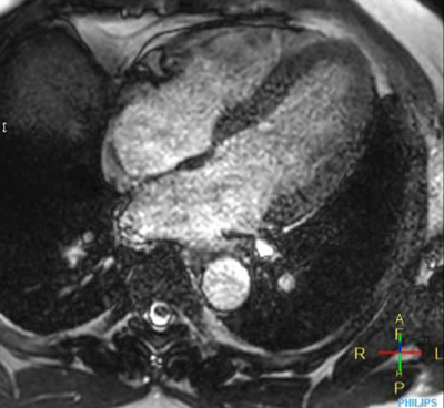
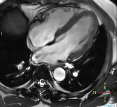
Cine 2D BFFE (4 CAV)
Elition X 3.0T
Metropolitan Police Hospital w Tokio, Japonia





Wypełnij formularz. Skontaktujemy się tak szybko, jak będzie to możliwe, aby doradzić wybór rozwiązania radiologicznego wspartego sztuczną inteligencją5 dopasowanego do potrzeb Twojej placówki.


1. MI&A Insights Report MR. Q1. 2021
2. W porównaniu z technologią SENSE firmy Philips
3. Wartość uśredniona na podstawie pomiarów wykonanych w grupie ośrodków korzystających z systemów MR firmy Philips
4. Technologia Adaptive-C-SENSE-NET wygrała konkurs Fast MRI Challenge zorganizowany przez zespół firmy Facebook ds. badań nad AI oraz ośrodek medyczny New York Langone Health.
5. Zgodnie z definicją sztucznej inteligencji opracowaną przez grupę ekspertów na szczeblu UE.
You are about to visit a Philips global content page
ContinueStrona przeznaczona wyłącznie dla osób, które stosują wyroby medyczne jako profesjonaliści, w tym osób wykonujących zawody medyczne, osób działających na rzecz podmiotów ochrony zdrowia lub podmiotów prowadzących obrót wyrobami medycznymi w charakterze profesjonalnym.
Czy jesteś osobą spełniającą powyższe kryteria?