Stół pacjenta o wyjątkowych możliwościach
Zakres skanowania wynoszący 2100 mm, maksymalne obciążenie 306 kg i niska wysokość stołu ułatwiająca dostęp.
Dzięki nowym rozwiązaniom z zakresu obrazowania kardiologicznego i bezkompromisowemu podejściu do skanowania aparat Spectral CT 7500 pozwala uzyskać właściwe obrazy za pierwszym razem.
Dzięki nowym rozwiązaniom z zakresu obrazowania kardiologicznego i bezkompromisowemu podejściu do skanowania aparat Spectral CT 7500 pozwala uzyskać właściwe obrazy za pierwszym razem.

Pełna dostępność Pełne dane spektralne w każdym momencie zapewniają dostęp do wyników na każde żądanie – nawet w ujęciu retrospektywnym.

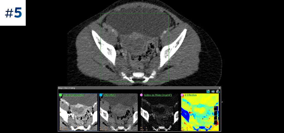
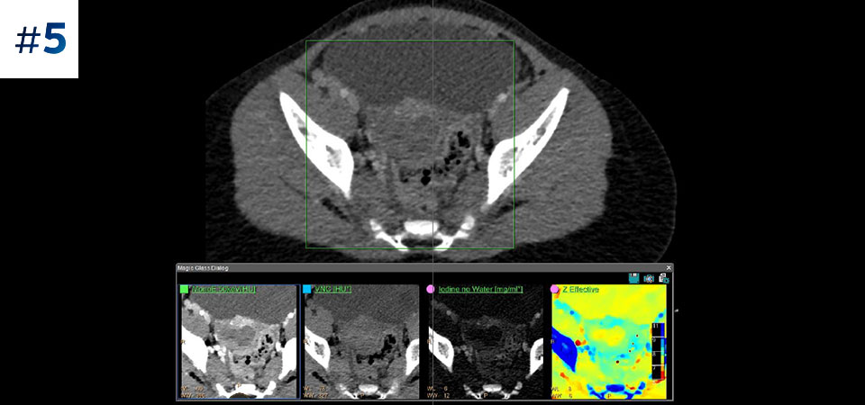
Pacjenci o różnych typach budowy ciała Możliwość przeprowadzania badań u pacjentów różnej wielkości, od dzieci po osoby otyłe.

Ograniczenie liczby ponownych badań Udoskonalona charakterystyka i wizualizacja tkanek może ograniczyć konieczność wykonywania ponownych badań, jaka zachodzi w przypadku badań o niezadowalającej jakości oraz przypadkowych obserwacji.

Typowy przebieg badania Pojedyncze skanowanie zapewniające szybki dostęp do konwencjonalnych i spektralnych danych uzyskanych z użyciem niskiej dawki — za każdym razem i w przypadku każdego pacjenta.
Rozejrzyj się — wystarczy kliknąć niebieskie kółka, aby dowiedzieć się, co czyni aparat Spectral CT 7500 wyjątkowym.
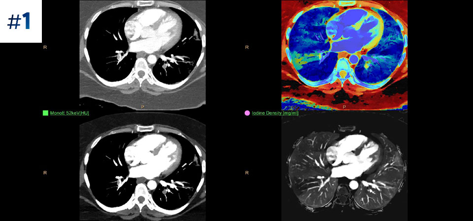
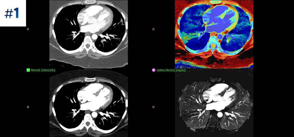
Większe możliwości w zakresie badań kardiologicznych dzięki obrazowaniu spektralnemu pełnego pola widzenia. Redukcja artefaktów powodowanych przez uwapnienie tętnic wieńcowych.
Większe możliwości w zakresie badań kardiologicznych dzięki obrazowaniu spektralnemu pełnego pola widzenia. Redukcja artefaktów powodowanych przez uwapnienie tętnic wieńcowych.
Połącz się ze specjalistą, aby dowiedzieć się, czy tomograf komputerowy z detektorem spektralnym to rozwiązanie dla Ciebie.
Nie ograniczaj się do konwencjonalnej tomografii komputerowej. Zobacz, jak wyniki uzyskane dzięki warstwom detektora spektralnego mogą zwiększyć pewność diagnostyczną.
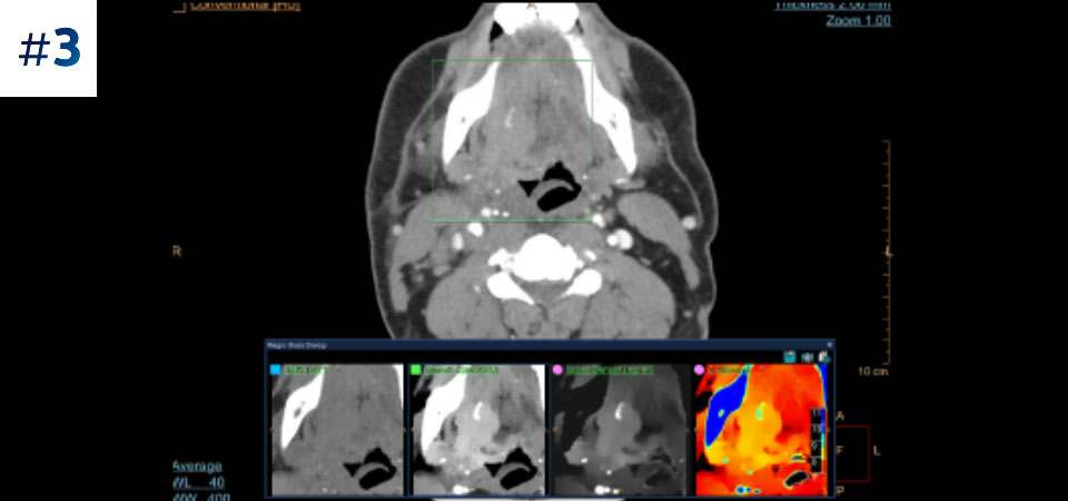
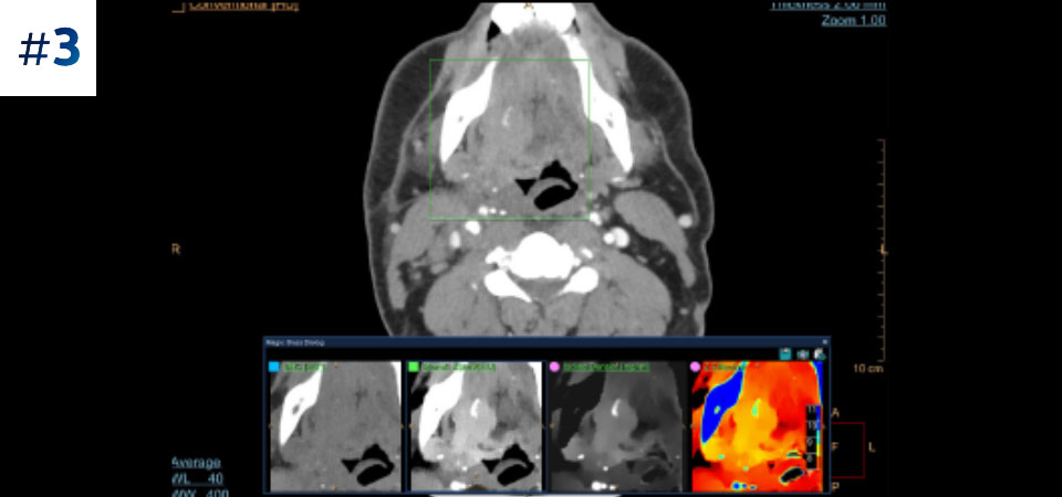
Guz szyi
Pobierz opisy przypadków tutaj
Sprawdź swoje odpowiedzi tutaj.
Opracowany przez firmę Philips tomograf komputerowy z detektorem spektralnym umożliwia akwizycję konwencjonalnych i spektralnych danych
w ramach jednego badania — bez konieczności zmiany stosowanych procedur pracy.
Dr Charles White
Profesor Katedry Chorób Płuc i Intensywnej Opieki Medycznej, University of Maryland School of Medicine
Ten rok obfituje w ekscytujące doniesienia na temat tomografii komputerowej opartej na detektorze spektralnym. Zarejestruj się, aby błyskawicznie otrzymywać najnowsze wiadomości, lub skontaktuj się z przedstawicielem handlowym, aby uzyskać więcej informacji.

Zobacz różnicę pomiędzy tomografią komputerową opartą na detektorze spektralnym a konwencjonalną tomografią komputerową

Poznaj zalety tomografii komputerowej opartej na detektorze spektralnym

Poznaj wszystkie rozwiązania z zakresu tomografii komputerowej
Zobacz jak tomograf spektralny pomaga w diagnostyce pacjentów onkologicznych.
You are about to visit a Philips global content page
ContinueStrona przeznaczona wyłącznie dla osób, które stosują wyroby medyczne jako profesjonaliści, w tym osób wykonujących zawody medyczne, osób działających na rzecz podmiotów ochrony zdrowia lub podmiotów prowadzących obrót wyrobami medycznymi w charakterze profesjonalnym.
Czy jesteś osobą spełniającą powyższe kryteria?