







Chcesz uzyskać więcej informacji na temat funkcji Compressed SENSE? Skontaktujemy się z Tobą wkrótce.
W czasach, w których ubezpieczalnie niechętnie pokrywają koszty usług medycznych, a rosnąca liczba przewlekłych chorób prowadzi do zwiększonego zapotrzebowania na badania MR i coraz dłuższego czasu oczekiwania na diagnostykę, palącym problemem stała się konieczność skrócenia czasu badania, pozwalającego na przebadanie większej liczby pacjentów. Jednak do tej pory wszelkie próby przyspieszenia badań kończyły się albo pogorszeniem jakości obrazu, albo były możliwe tylko w ograniczonym zakresie. Potrzebne było wprowadzenie całkowicie nowej, rewolucyjnej technologii, która umożliwiłaby sprostanie rosnącym wymaganiom w tym zakresie. Wykorzystując swoją długoletnią pozycję lidera w tej dziedzinie (funkcja SENSE), firma Philips opracowała technologię compressed SENSE.
„Cel, do którego dążymy, to skrócenie czasu skanowania przy zachowaniu tej samej co dotychczas jakości obrazu.”
Lek. med. Sabine Sartoretti, dyrektor pracowni neuroradiologii w instytucie radiologii i medycyny nuklearnej szpitala Kantonsspital Winterthur, Szwajcaria
„Dzięki skróceniu czasu skanowania bez pogorszenia jakości obrazu funkcja Compressed SENSE poprawiła wydajność badań.”
Sachi Fukushima, technik radiologii, Kurashiki Central Hospital, Japonia

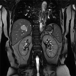
Dowiedz się więcej o głównych założeniach funkcji Compressed SENSE oraz w jaki sposób pozwala ona zwiększyć szybkość badań MR bez pogorszenia jakości obrazu.

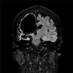
Przeczytaj o wrażeniach personelu ze szpitala Kantonsspital Winterthur (Szwajcaria), który uznał, że funkcja Compressed SENSE to dobry, a zarazem prosty sposób na skrócenie czasu zarówno dwu- jak i trójwymiarowych badań MR, niezależnie od rodzaju metody i sekwencji obrazowania.

You are about to visit a Philips global content page
ContinueStrona przeznaczona wyłącznie dla osób, które stosują wyroby medyczne jako profesjonaliści, w tym osób wykonujących zawody medyczne, osób działających na rzecz podmiotów ochrony zdrowia lub podmiotów prowadzących obrót wyrobami medycznymi w charakterze profesjonalnym.
Czy jesteś osobą spełniającą powyższe kryteria?